Porcelain Crowns
Applied Procedures: Porcelain Crowns
P7993_ss3700bs_t P7993_ss3700ys_t
Before Photo After Photo
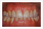
Applied Procedures: Porcelain Crowns
P7993_ss3701bs_t P7993_ss3701ys_t
Before Photo After Photo
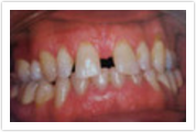
Applied Procedures: Porcelain Crowns, Dental Bridges
P7993_ss3702bs_t P7993_ss3702ys_t
Before Photo After Photo